MRIをはじめとした検査 | 福岡市早良区の脳神経外科クリニック高木|頭痛・めまい・MRI完備

MRIをはじめとした検査

EXAMINATION
診療案内

MRI検査について

MRI検査は、強力な磁場と電波を使って体の内部を詳細に撮影する検査です。X線を使用しないため被ばくの心配がなく、脳や脊髄、神経系の疾患をはじめ、さまざまな病気の診断に幅広く活用されています。
福岡市早良区の脳神経外科クリニック高木では、2026年1月より最新の1.5テスラMRI検査を導入し、より正確な診断に役立てています。頭痛、しびれ、めまいなど神経症状でお悩みの方も安心して検査を受けていただけます。

脳神経外科クリニック高木のMRIの特長

  1. FEATURE

    最新機器で精密な診断

    2026年1月より最新の1.5テスラMRI(ECHELON Smart ZeroHelium FUJIFILM社製)を導入しています。AI技術を搭載しており、より精密で正確な診断が可能です。ゼロヘリウム設計のため、従来より安全性が高く、環境にも配慮した次世代型MRIです。

  2. FEATURE

    患者様にやさしいMRI検査

    検査時間は基本的に10分程度と短く、オープンヘッド(視界が広い)でも撮像できるため、閉所恐怖症の方も安心です。また、静音撮像技術により検査中の音も抑えられ、負担の少ない環境で検査を受けられます。

  3. FEATURE

    幅広い部位に対応した検査

    必要に応じて放射線専門医による画像読影も行っています。脳や脊髄などの神経の検査に加え、関節(四肢)、腹部(肝臓・胆嚢・膵臓)、前立腺など、全身のさまざまな部位の精密検査に対応可能です。

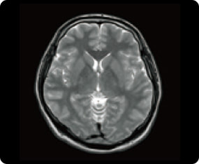
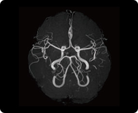
頭部MRI検査の症例画像

脳(大脳)
血管(MRA)
脊髄

その他MRI検査の症例画像

膝関節
肩関節
腹部
MRCP

MRI検査の注意事項

  1. 体内に金属がある方は検査を受けられない場合があります。

    ペースメーカーや人工内耳をお使いの方はMRI検査を受けることができません。その他、シャントチューブ、コイル、人工関節など、体内に金属がある場合は必ず事前にスタッフへお知らせください。

  2. 検査前に取り外していただくもの

    MRIの磁力に影響する可能性があるため、以下のものは検査前に外してください。

    • 携帯電話、腕時計、鍵
    • 補聴器、イヤホン、入れ歯
    • ヘアピン、ネックレス、ピアス、ベルト
    • 湿布、使い捨てカイロ、コルセット
    • 増毛パウダー、ピン付きウィッグ
    • クレジットカード、キャッシュカードなど磁気・ICカード類
    • カラーコンタクトレンズ

近隣の医療機関の先生方へ

当院では、MRI検査を目的としたご紹介・受診を随時お受けしています。検査画像は、放射線診断専門医による読影を行い、レポートを添えてご返却いたします。詳細につきましては、お気軽にお問い合わせください。

超音波(エコー)検査

超音波(エコー)検査とは、耳では聞こえない高周波の音波を利用して、体内の血管や臓器の形・動きをリアルタイムで映し出す検査方法です。
検査の際には、超音波をスムーズに伝えるために専用のジェルを皮膚に塗布し、痛みを伴うことはほとんどありません。
当院では、脳神経外科領域で特に重要となる 頚動脈エコー検査 を行っています。
頚動脈の壁が厚くなる「動脈硬化」や、血管が狭くなる「狭窄」の有無を詳しく調べることで、脳梗塞リスクの早期評価・早期予防 に役立ちます。
頚動脈に異常が生じると、脳へ十分な血流が送れなくなり、脳梗塞の原因となる場合があります。エコー検査では、血管の厚み・プラーク(コレステロールの塊)・血液の流れを非侵襲的に測定でき、初期段階の変化でも発見しやすいのが特徴です。
脳卒中予防につながり、健康管理に大きく貢献します。

レントゲン検査

レントゲン検査は、X線を使って体内の骨や臓器の状態を画像で確認する検査方法です。放射線量は必要最小限に抑えられており、短時間で安全に検査を受けることができます。
当院では、脳神経外科の診療に必要な頭部や脊椎のレントゲン撮影を中心に行っています。必要に応じて、胸部や腹部、関節などの撮影にも対応しており、骨折や変形、関節炎、胸部の異常の確認にも役立ちます。短時間で安全に行える検査で、診断や治療方針の決定に貢献します。

心電図

心電図検査(ECG)は、心臓が発する電気信号を記録し、脈の乱れや心臓の働きを調べる検査です。
不整脈や虚血などの異常を早期に確認でき、脳神経外科の診療でも重要な役割があります。
心房細動などの不整脈は血栓を作りやすく、脳梗塞の原因になることがあります。心電図で心臓のリズムを評価することで、脳卒中の予防にもつながります。
検査は短時間で、痛みなく安全に受けていただけます。

脳波

脳波検査は、頭皮に電極をつけて脳が発する微弱な電気活動を記録し、脳の状態を調べる検査です。
脳梗塞や頭部外傷のあとに、脳の働きが低下していないかを確認したり、てんかんの診断・評価に用いられます。
脳神経外科において、意識障害の原因精査や、発作の可能性を判断する際にも重要な検査です。
痛みはほとんどなく、体への負担も少ないため、幅広い年齢の方に安全に受けていただけます。

ABR(聴性脳幹反応検査)

ABR(聴性脳幹反応検査)は、音に対して脳幹がどのように反応しているかを波形として記録し、聴こえの状態を客観的に評価する検査です。
ヘッドホンから一定の音を聞いていただき、その反応を測定するため、自分でボタンを押す必要はありません。
通常の聴力検査が難しい方でも実施でき、小さなお子さまや意識障害のある方の聴覚評価に役立ちます。
脳神経外科では、聴覚の障害が疑われる場合や、脳幹の機能を確認する際に重要な検査です。

重心動揺検査

重心動揺検査は、直立したときにどの程度身体が揺れているかを測定し、バランス(平衡)機能を評価する検査です。
メニエール病などの内耳疾患、脳循環障害などの中枢神経のトラブル、加齢に伴う反射機能の低下などの評価に役立ちます。
また、動脈硬化や糖尿病、脳白質の変化といった、バランス障害の背景にあるリスクの早期発見にも有用です。

脳ドック